티스토리 뷰
해면상 혈관종에 대한 방사선수술 (Cavernous Malformation Radiosurgery)
서론: 해면상 혈관종 치료의 필요성
해면상 혈관종(Cavernous Malformation)은 뇌에 발생하는 혈관질환 중 하나로, 증상이 없더라도 출혈 위험이 존재하는 병변이다.
이 병변은 뇌심부나 위험한 부위에 위치한 경우 수술적 제거가 어렵고, 반복적인 출혈이나 난치성 간질, 신경학적 손상으로 이어질 가능성이 높다. 특히 MRI와 같은 영상기술의 발달로 조기 진단이 가능해지면서, 보존적인 방법 외에도 방사선수술이라는 새로운 치료 옵션이 주목받고 있다.
이 글에서는 방사선수술의 효과, 한계점, 최신 동향을 체계적으로 정리해보고자 한다. 단순한 치료법 요약이 아니라, 실제 임상에서 어떤 상황에 방사선수술이 적합한지, 장단점은 무엇인지, 앞으로의 발전 가능성까지 포함해 블로그 독자에게 유익한 정보를 제공한다.
1. 해면상 혈관종이란?
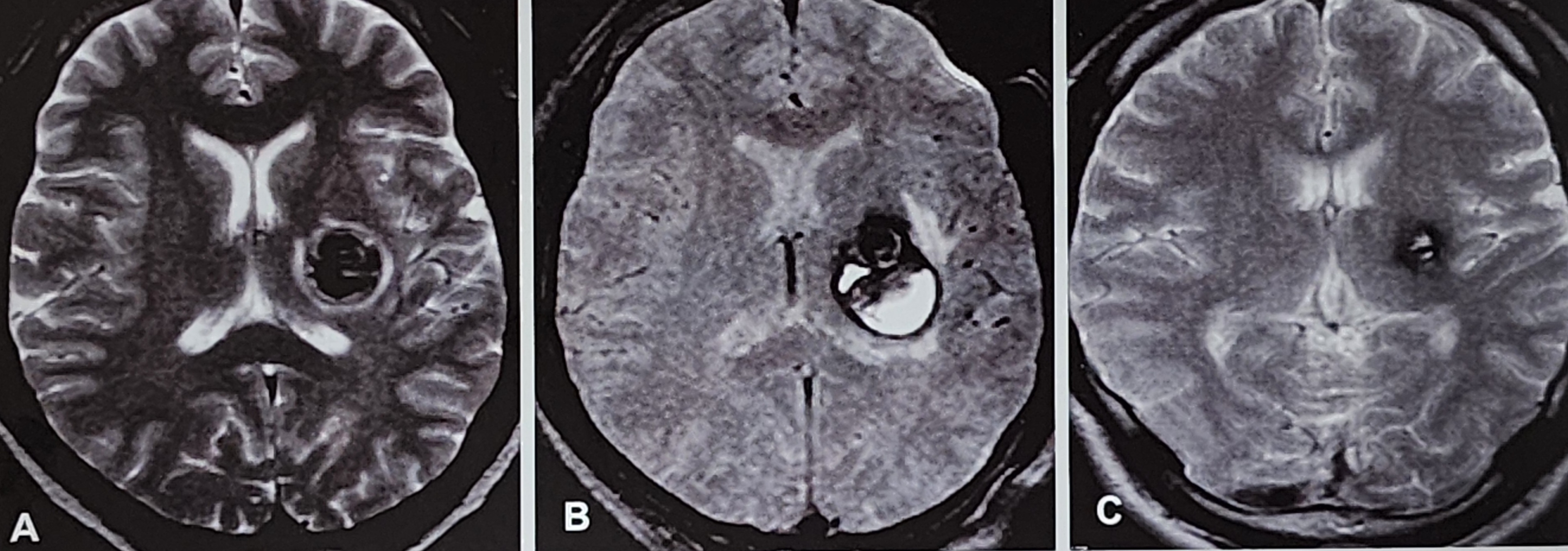
해면상 혈관종은 뇌에 존재하는 비정상적인 혈관 덩어리로, 일반적으로 모세혈관 크기의 혈관들이 뭉쳐 형성된 병변이다.
전체 뇌혈관기형 중 약 5~13%를 차지하며, MRI 영상에서 특유의 '팝콘 모양'으로 보이기도 한다.
이 병변은 증상이 없을 수도 있지만, 출혈이나 간질, 신경학적 결손 등을 유발할 수 있으며, 특히 뇌간, 시상, 심부 구조에 위치할 경우 수술적 제거가 어려워 보존적 관리가 일반적이다.
2. 방사선수술의 개요와 적용 이유
방사선수술은 비침습적 치료법으로, 병변에 고용량의 방사선을 정확히 조사하여 서서히 혈관을 폐쇄시키는 원리로 작용한다. 수술이 불가능한 부위에 위치하거나, 반복적인 출혈이 있는 환자에게 적용되며, 병변 크기가 작을수록 치료 효과가 좋다. MRI를 기반으로 치료 계획이 수립되며, 병변이 명확히 구별될수록 정확한 표적화가 가능하다.
3. 방사선수술의 효과
임상적으로 방사선수술은 다음과 같은 효과를 보인다.
- 출혈 재발률 감소: 2년 후 출혈 위험이 평균 5~10%로 감소하며, 치료 전보다 월등히 개선된 결과를 보인다.
- 간질 조절: 난치성 간질 증상을 호소하는 환자의 70% 이상에서 간질 빈도가 현저히 감소하거나 완전 소실되는 결과를 보인다.
- 점진적 병변 소실: MRI 추적 결과 방사선 조사 후 병변이 점차 축소되거나 섬유화됨이 관찰되며, 일부는 완전 소실된다.
- 비침습적 치료: 뇌심부나 기능적 중요 부위에 위치한 병변도 수술 없이 치료가 가능하여 환자 부담이 적다.

4. 방사선수술의 제한점과 주의사항
방사선수술은 유용한 치료법이지만, 다음과 같은 한계점도 존재한다.
- 방사선 유도 합병증: 방사선에 의한 조직 반응으로 부작용(예: 부종, 뇌조직 손상)이 발생할 수 있다.
- 혈관 구조 파악의 어려움: 해면상 혈관종은 혈류가 적고 명확한 혈관 구조가 없어 표적 설정이 어렵다.
- 완전 폐쇄 확인의 어려움: MRI상 완전한 병변 소실을 확인하기 어려운 경우도 많으며, 이로 인해 치료 성공 여부 판단이 늦어진다.
- 과도한 조사 위험: 병변이 불명확한 경우 방사선을 과하게 조사할 위험이 있으며, 이는 주변 조직 손상을 유발할 수 있다.
5. 최신 연구 동향과 미래 가능성
최근 연구에서는 VEGF(Vascular Endothelial Growth Factor) 억제제를 통한 약물 병용 방사선치료가 주목받고 있다. 예를 들어, bevacizumab과 같은 항혈관신생 약물은 방사선 치료의 보조요법으로 활용될 가능성이 있다. 또한, 정밀방사선 기술의 발전으로 표적화 정확도가 향상되며, 부작용을 최소화하면서도 치료 효율을 극대화할 수 있는 방향으로 진화하고 있다.
방사선 치료의 또 다른 발전 방향으로는 신경영상 기반의 정량 분석을 통해 방사선 조사가 미치는 영향을 사전에 예측하고, 환자별 맞춤형 치료 계획을 세우는 정밀의료(Precision Medicine) 접근이 연구 중이다.
결론: 방사선수술, 해면상 혈관종 치료의 중요한 대안
해면상 혈관종은 뇌심부에 위치하거나, 반복 출혈을 동반할 경우 수술적 접근이 어렵기 때문에, 방사선수술은 중요한 치료 대안으로 부상하고 있다. 단일 치료로서의 완전한 효과를 보장할 수는 없지만, 장기적으로 출혈 예방과 간질 조절, 병변 축소 등의 측면에서 상당한 효과를 기대할 수 있다. 최근 기술 발전과 함께 다양한 병용 치료 연구가 활발히 진행 중이며, 앞으로 방사선수술의 안전성과 치료 효율은 더욱 높아질 것으로 전망된다.
'신경외과 - 정위기능' 카테고리의 다른 글
| 안장주변 종괴에 대한 방사선수술 (0) | 2025.04.01 |
|---|---|
| 청신경초종 방사선수술 (5) | 2025.03.25 |
| 뇌수막종에 대한 방사선수술 (2) | 2025.03.24 |
| 뇌동정맥기형(AVM)에 대한 방사선수술 (0) | 2025.03.22 |
| 방사선수술기계와 그 원리 (0) | 2025.03.21 |
| 방사선수술의 개요 (0) | 2025.03.20 |
| 요통과 통증 차단술 (2) | 2025.03.20 |
| 신경자극술 및 약물펌프를 이용한 약물주입치료(2) (1) | 2025.03.18 |
- Total
- Today
- Yesterday
- leksell
- gamma knife
- 발작
- 저선량 조사
- 뇌전증
- 감마나이프
- ilae
- 삼차신경통
- radiosurgery
- 방사선수술
- Seizure
- scs
- 진통제
- 만성통증
- 방사선치료
- 뇌심부자극술
- 뚜렛
- 통증
- mvd
- 레보도파
- Baclofen
- sdr
- 안장주변 종양
- mri
- SPECT
- DBS
- Epilepsy
- 파킨슨
- MEG
- 제8뇌신경
| 일 | 월 | 화 | 수 | 목 | 금 | 토 |
|---|---|---|---|---|---|---|
| 1 | 2 | 3 | ||||
| 4 | 5 | 6 | 7 | 8 | 9 | 10 |
| 11 | 12 | 13 | 14 | 15 | 16 | 17 |
| 18 | 19 | 20 | 21 | 22 | 23 | 24 |
| 25 | 26 | 27 | 28 | 29 | 30 | 31 |