티스토리 뷰
1. 서론
뇌전증은 반복적인 발작을 특징으로 하는 신경계 질환으로, 그중 측두엽 뇌전증(Temporal Lobe Epilepsy, TLE)은 가장 흔한 형태이다. 측두엽 뇌전증은 일반적으로 약물 치료에 반응하지만, 일부 환자는 약물로 조절되지 않는 난치성 뇌전증을 겪는다. 이러한 경우 수술적 치료가 효과적인 대안이 될 수 있다.
측두엽 뇌전증의 주요 원인은 해마경화증(Hippocampal Sclerosis)이며, 이는 해마(hippocampus)의 신경세포가 손상되고 위축되면서 발생한다. 발작이 반복되면서 기억력 저하, 정서 장애, 인지 기능 저하 등의 증상이 나타날 수 있다.
본 글에서는 측두엽 뇌전증의 원인과 증상, 진단 방법, 그리고 치료법으로서의 수술적 치료(측두엽 절제술)에 대해 자세히 알아보겠다. 이를 통해 뇌전증 환자와 가족들이 보다 정확한 정보를 얻고 적절한 치료법을 선택하는 데 도움이 될 수 있도록 한다.
2. 측두엽 뇌전증의 원인과 증상
2.1 측두엽 뇌전증의 주요 원인
측두엽 뇌전증의 주요 원인은 다음과 같다.
- 해마경화증(Hippocampal Sclerosis): 측두엽 내 해마와 주변 조직이 위축되거나 손상되면서 발작이 유발됨.
- 선천적 기형(Neocortical Dysplasia): 대뇌 피질 형성 이상으로 인해 뇌 신경세포 간 비정상적인 연결이 형성됨.
- 두부 외상(Traumatic Brain Injury): 심각한 머리 외상 후 측두엽 손상이 발생하며 뇌전증으로 이어질 가능성이 있음.
- 뇌 감염(Neuroinfection): 뇌염, 수막염 등의 감염 후 후유증으로 뇌전증이 유발될 수 있음.
- 뇌종양(Brain Tumor): 측두엽 내 종양이 신경 신호 전달을 방해하며 발작을 유발할 수 있음.
2.2 주요 증상
측두엽 뇌전증 환자는 다양한 신경학적 증상을 경험할 수 있다.
(1) 발작 유형
- 부분 발작(Simple Partial Seizure, SPS): 의식이 유지되면서 특정 신체 부위에서 발작이 발생하는 형태.
- 복합 부분 발작(Complex Partial Seizure, CPS): 의식이 부분적으로 저하되며, 자동증(automatisms, 무의식적 행동)이 동반될 수 있음.
- 전신 발작(Secondary Generalized Seizure): 측두엽에서 시작된 발작이 대뇌 전체로 퍼지며 전신 경련이 발생하는 형태.
(2) 인지 및 정신적 증상
- 기억력 저하 및 인지 기능 장애
- 정서 불안, 불안증, 우울증
- 초점 장애 및 공간 감각 저하
- 착각, 환각(시각 및 청각)
3. 측두엽 뇌전증의 진단 방법
정확한 진단을 위해 다양한 영상 검사 및 신경학적 검사가 필요하다.
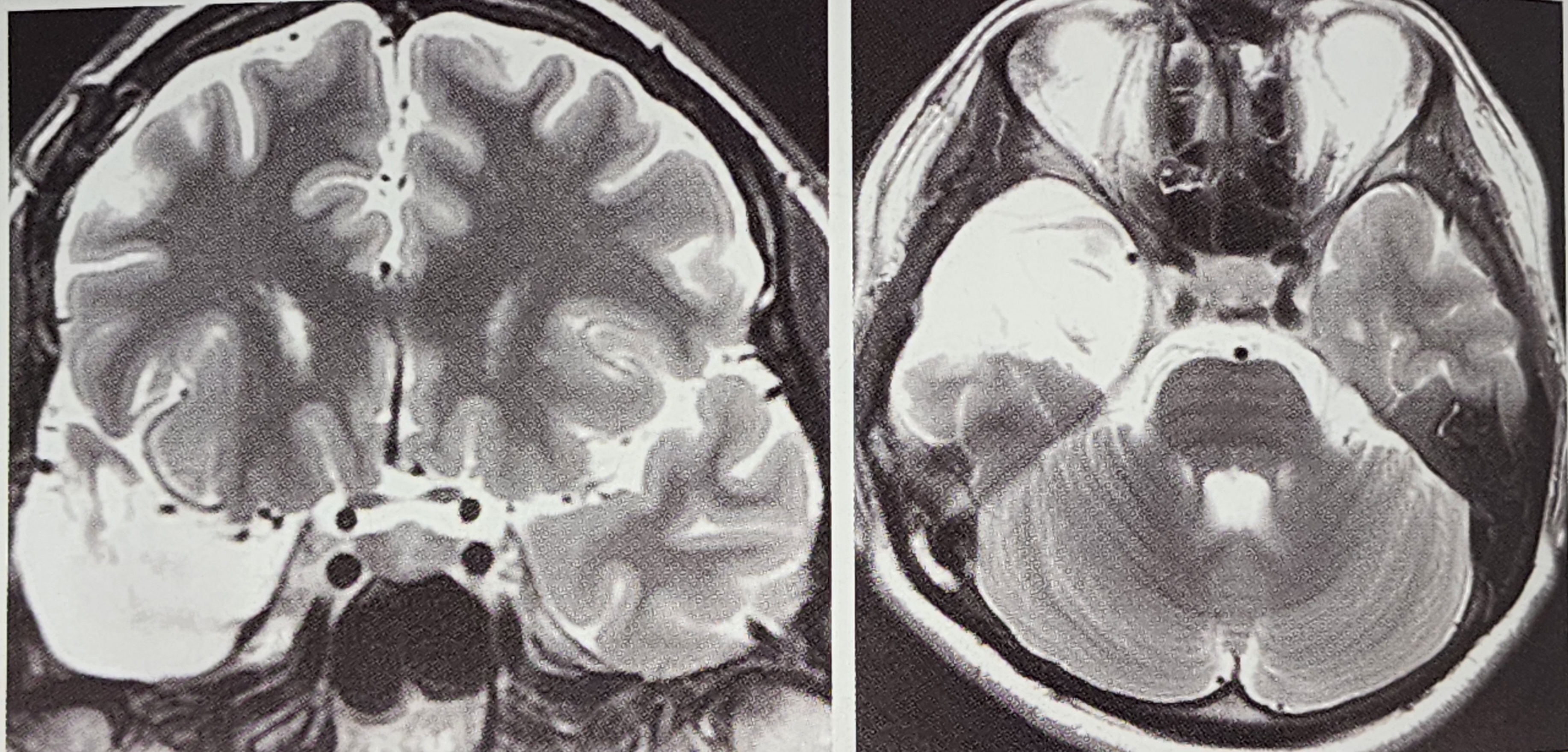
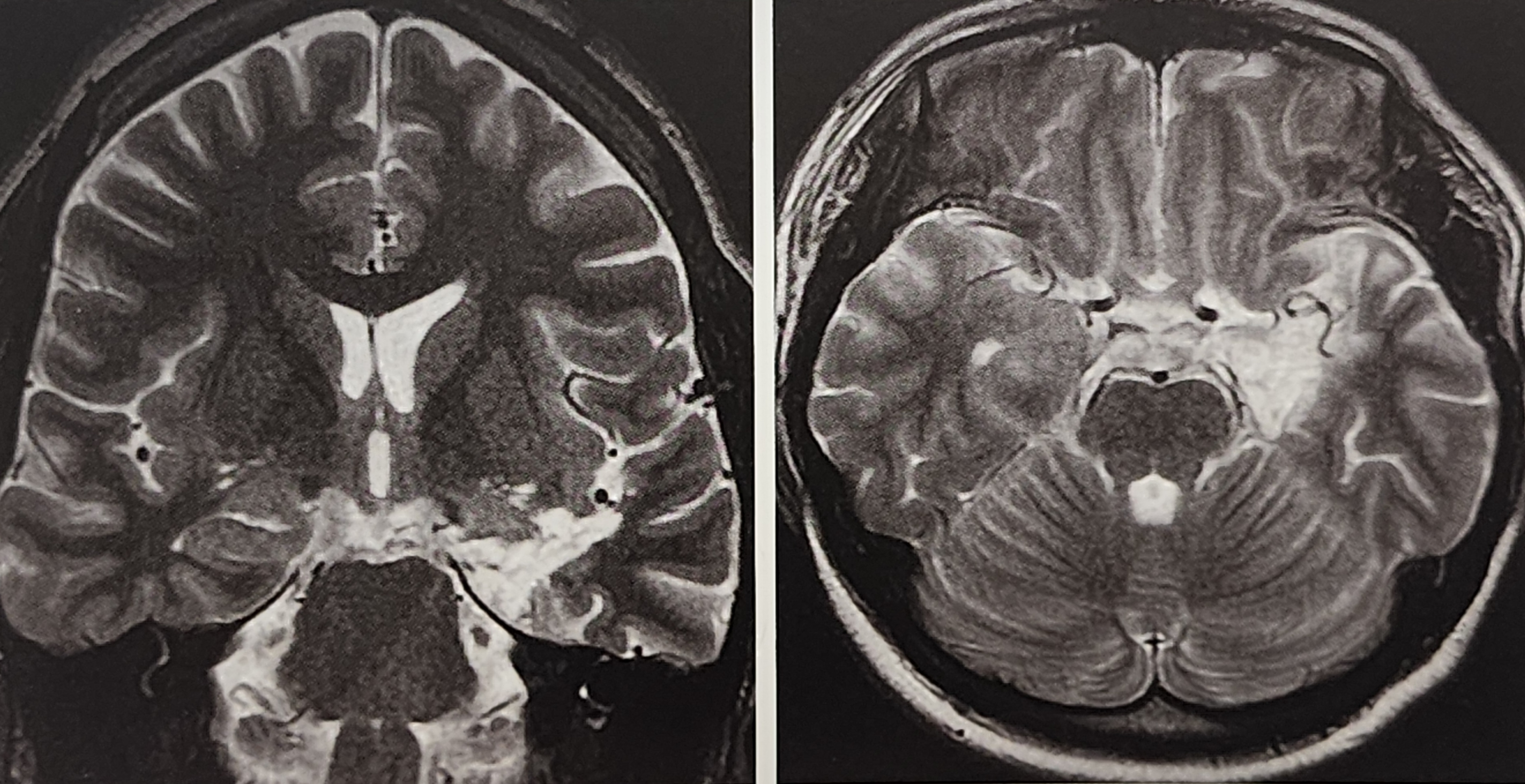
3.1 MRI(자기공명영상) 검사
MRI는 해마경화증이나 측두엽 구조 이상을 확인하는 가장 중요한 검사법이다. 특히 FLAIR(Fluid-Attenuated Inversion Recovery) 기법을 사용하여 뇌조직의 손상을 더욱 명확히 확인할 수 있다.
3.2 PET(양전자 방출 단층촬영) 검사
FDG-PET을 통해 측두엽 대사 감소 여부를 확인할 수 있다. 측두엽 뇌전증 환자는 일반적으로 내측 측두엽 대사의 감소가 특징적으로 나타난다.
3.3 뇌파 검사(EEG, Electroencephalography)
발작 시 측두엽에서 발생하는 이상 신호를 감지하는 데 유용하며, 특정 영역에서 반복적으로 나타나는 이상 신호를 기반으로 수술 적응증을 평가한다.
4. 측두엽 뇌전증의 치료법
4.1 약물 치료
대부분의 측두엽 뇌전증 환자는 항뇌전증제를 통해 발작을 조절할 수 있다. 그러나 약물 치료에 반응하지 않는 약물 난치성 뇌전증의 경우, 수술적 치료를 고려해야 한다.
4.2 수술적 치료(측두엽 절제술)
약물 치료가 효과가 없는 경우, 수술을 통해 병변 부위를 절제하는 것이 효과적일 수 있다.
(1) 표준 전방 측두엽 절제술(Standard Anterior Temporal Lobectomy, ATL)
- 측두엽 앞부분 약 4.5cm를 절제하여 발작 발생 부위를 제거하는 방법.
- 성공률이 높으며, 약 60~80% 환자에서 발작이 완전 소실됨.
- 하지만 시야 장애(반맹) 등의 부작용이 발생할 가능성이 있음.

(2) 선택적 편도-해마 절제술(Selective Amygdalohippocampectomy, SAH)
- 표준 절제술보다 절제 범위를 최소화하여 해마와 편도체만 제거하는 방식.
- 기억력 보존이 가능하여 인지 기능 유지에 유리함.
- 성공률은 ATL과 비슷하지만, 환자에 따라 선택적 적용이 필요함.

5. 측두엽 절제술의 예후 및 합병증
5.1 예후
- 수술 후 약 70% 환자에서 발작이 완전히 조절됨.
- 수술 후 삶의 질이 개선되며, 정신 건강(우울증, 불안증 등)도 호전되는 경향이 있음.
5.2 가능한 합병증
- 시야 장애(Hemianopsia): 시야의 일부가 손실될 가능성이 있음.
- 기억력 저하: 특히 왼쪽 측두엽 수술 시 언어 및 기억력이 저하될 수 있음.
- 우울증 및 정서 장애: 수술 후 일시적인 기분 변화가 나타날 수 있음.
6. 결론
측두엽 뇌전증은 해마경화증과 같은 원인에 의해 발생하며, 약물 치료로 조절되지 않는 경우가 많다. 이때 수술적 치료는 효과적인 대안이 될 수 있으며, 특히 표준 전방 측두엽 절제술(ATL)과 선택적 편도-해마 절제술(SAH)이 대표적인 수술 방법이다.
수술 후 많은 환자들이 발작으로부터 해방되며, 삶의 질이 크게 향상될 수 있다. 하지만 수술 후 일부 합병증이 발생할 가능성이 있으므로 신경과 전문의와의 충분한 상담을 거친 후 치료 방법을 결정하는 것이 중요하다.
앞으로 뇌전증 치료 기술이 더욱 발전하면서, 보다 정밀하고 효과적인 치료법이 개발될 것으로 기대된다. 뇌전증을 앓고 있는 환자와 가족들이 올바른 정보를 바탕으로 최적의 치료법을 선택할 수 있기를 바란다.
'신경외과 - 정위기능' 카테고리의 다른 글
| 뇌전증 수술과 예후 (0) | 2025.03.09 |
|---|---|
| 미주신경자극술 및 기타 신경 자극술 (0) | 2025.03.07 |
| 뇌전증 전달로 차단술 (0) | 2025.03.06 |
| 대뇌반구절제술(Hemispherectomy) (0) | 2025.02.28 |
| 뇌전증의 내과적 치료 (0) | 2025.02.20 |
| 뇌전증 수술 전 검사 (0) | 2025.02.19 |
| 뇌전증의 분류와 진단 (0) | 2025.02.18 |
| 반측안면경련의 치료 (0) | 2025.02.17 |
- Total
- Today
- Yesterday
- 뇌심부자극술
- MEG
- mri
- ilae
- 제8뇌신경
- Seizure
- 뚜렛
- 만성통증
- 삼차신경통
- scs
- leksell
- DBS
- gamma knife
- 파킨슨
- 레보도파
- SPECT
- Epilepsy
- Baclofen
- 안장주변 종양
- 통증
- 뇌전증
- radiosurgery
- 저선량 조사
- 방사선수술
- 감마나이프
- sdr
- 발작
- 방사선치료
- 진통제
- mvd
| 일 | 월 | 화 | 수 | 목 | 금 | 토 |
|---|---|---|---|---|---|---|
| 1 | ||||||
| 2 | 3 | 4 | 5 | 6 | 7 | 8 |
| 9 | 10 | 11 | 12 | 13 | 14 | 15 |
| 16 | 17 | 18 | 19 | 20 | 21 | 22 |
| 23 | 24 | 25 | 26 | 27 | 28 | 29 |
| 30 |